• 予約受付(平日9:00~17:00) お問合せ(平日8:30~17:00)
  • TEL : 042-367-5785 FAX : 042-367-5602
  1. トップページ
  2. 診療科のご案内
  3. 軟部外科・循環器科

軟部外科・循環器科

ご挨拶

小動物軟部外科・循環器診療科のページをご覧いただき、ありがとうございます。
当診療科では、犬および猫を対象に、消化器、肝・胆道系、泌尿生殖器、呼吸器などを中心とした小動物の軟部外科疾患に対する診断および外科治療を行っております。大学附属動物病院として、最新の知見に基づいた高度で安全性の高い外科医療の提供を目指しています。
当診療科の最大の特徴として、外科以外にも循環器および眼科の診療を行なっており、これらの専門的評価・診療を同時に行うことが可能となっています。手術前後の循環器評価を要する症例や、全身疾患と眼科疾患を併せ持つ症例に対しても、診療科をまたぐことなく、包括的な診療を提供しています。
紹介病院の先生方と緊密に連携しながら、個々の症例に応じた最適な治療方針を検討し、動物と飼い主様にとって最善の医療を実践できるよう努めてまいります。

2026年度のスタッフ体制

  • 准教授 島田 香寿美/ Shimada Kazumi
     獣医師、博士(獣医学)
  • 准教授 田中 隆志/ Tanaka Takashi
     獣医師、博士(獣医学)
  • 特任助教 古城 智也/ Furujo Tomoya
     獣医師、博士(獣医学)
  • その他研修医、学部学生

診療内容

本診療科では様々な軟部外科・循環器・眼科疾患の診察を行っています。各検査を実施させていただいた後、症例ごとに適した治療、および手術法をご提案させていただきます。

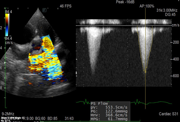
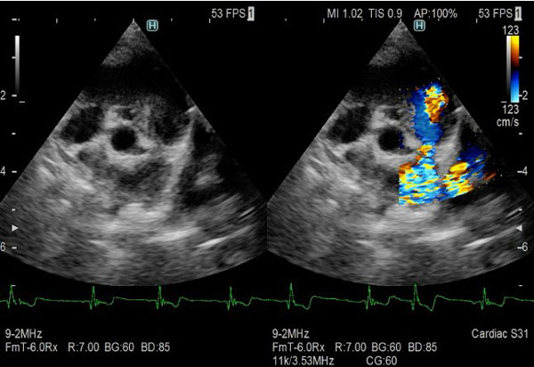
  • 循環器疾患(インターベンションによる治療を含む)
  • 消化器外科
  • 肝・胆道系外科
  • 呼吸器外科
  • 泌尿生殖器外科
  • 内分泌外科
  • 皮膚・耳外科
  • 口腔内外科
  • 眼科疾患
  • など

手術紹介

肺動脈狭窄症
門脈体循環シャント
胆嚢摘出
SUBシステム
会陰尿道造婁術
会陰ヘルニア
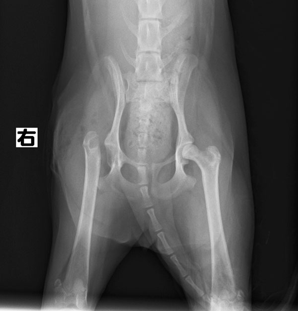
大腿骨頭切除
短頭種気道症候群(軟口蓋切除)
脾臓摘出

PageTop